Главная » Сборник лайфхаков » Как избавиться от твердого налета на зубах: проверенные приемы

Как избавиться от твердого налета на зубах: проверенные приемы


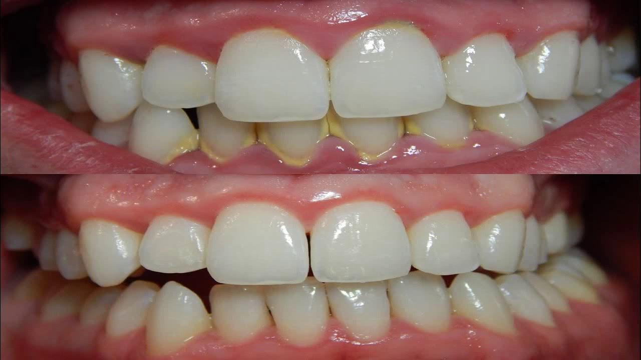
Узнайте эффективные способы удаления твердого налета с зубов и поддержания здоровья улыбки. В нашем руководстве вы найдете лучшие советы и приемы для борьбы с налетом и обеспечения красоты и здоровья вашей улыбки.


Используйте мягкую зубную щетку и технику чистки от десны к краю для более эффективного удаления налета.

Регулярно пользуйтесь зубной нитью для удаления налета и остатков пищи из промежутков между зубами.

Избегайте чрезмерного потребления продуктов, способствующих образованию налета, таких как сладости и газированные напитки.

Включайте в свой рацион больше свежих овощей и фруктов, которые помогают естественным образом очищать поверхность зубов.


Невероятная реконструкция зуба, поврежденного кариесом: эндодонтия в 4K

Регулярно посещайте стоматолога для профессиональной чистки зубов и консультаций по уходу за полостью рта.

Используйте специальные зубные пасты и ополаскиватели, разработанные для борьбы с налетом и укрепления эмали зубов.

Помните о важности умеренного потребления кофе и чая, чтобы предотвратить образование темного налета на зубах.

Избегайте курения, так как никотин способствует образованию пятен и налета на поверхности зубов.

После употребления кислых продуктов, таких как цитрусовые, дайте себе время перед чисткой зубов, чтобы предотвратить повреждение эмали.

Средства для удаления зубного камня в домашних условиях. Опасно ли это?

Не забывайте о регулярной замене зубных щеток и использовании средств для ухода за языком, чтобы предотвратить образование налета и неприятного запаха изо рта.