Главная » Сборник лайфхаков » Полезные советы по безопасному удалению лишнего зуба: безболезненно и безопасно

Полезные советы по безопасному удалению лишнего зуба: безболезненно и безопасно


Узнайте, как избавиться от лишнего зуба без боли и риска осложнений. Важные советы и рекомендации для успешной процедуры.


Обратитесь к квалифицированному стоматологу для консультации и профессионального совета.

Поддерживайте хорошую устную гигиену, чтобы предотвратить воспаление перед процедурой.

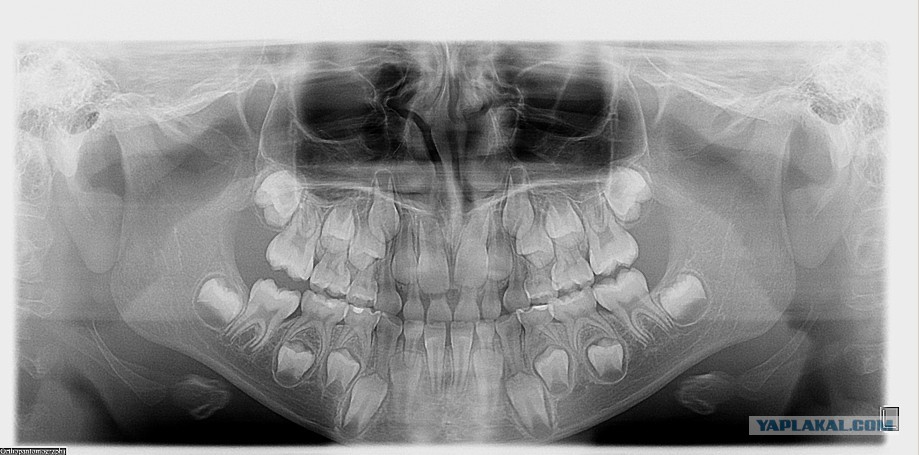
Удаление зуба прорезавшегося на небе / (Выпуск 9)

После удаления зуба придерживайтесь рекомендаций врача по уходу за раной для быстрого заживления.

Удаление зуба

Избегайте жесткой пищи и горячих напитков в первые дни после удаления зуба, чтобы избежать раздражения и боли.


удаление зуба

Применяйте ледяные компрессы на щеку в течение первых нескольких часов после процедуры, чтобы снизить отек и облегчить боль.

Удаление за 20 секунд? Больно или страшно?#клиникамосква #удалениезуба #зубы

Не курите после удаления зуба, чтобы избежать задержки заживления и возможных осложнений.

Избегайте пить алкогольные напитки в течение нескольких дней после удаления зуба, чтобы предотвратить раздражение раны и возможные инфекции.

Применяйте мягкие зубные щетки и нежные движения при чистке зубов вблизи раны для минимизации дискомфорта.

Удаление сверхкомплектного зуба

Принимайте рекомендованные анальгетики для снятия боли после удаления зуба, следуя инструкциям врача.

Обратитесь к врачу в случае любых необычных симптомов или осложнений после процедуры удаления зуба.