Главная » Сборник лайфхаков » Избавляемся от кисты головного мозга: проверенные приемы и советы

Избавляемся от кисты головного мозга: проверенные приемы и советы


Узнайте о различных методах лечения кисты головного мозга и получите полезные советы по выбору оптимального подхода для своего случая.


Обсудите с вашим врачом все возможные варианты лечения и выберите наиболее подходящий в вашей ситуации.

Поддерживайте здоровый образ жизни, включая регулярные физические упражнения и сбалансированное питание.

Изучите информацию о потенциальных рисках и побочных эффектах различных методов лечения перед принятием окончательного решения.

Следите за рекомендациями врача после проведения процедур или операции для быстрого восстановления и минимизации осложнений.


Проводите регулярные обследования и консультации с врачом для контроля состояния и эффективности лечения.

Избегайте самолечения и принимайте только те медицинские меры, которые рекомендованы вашим врачом.

Старайтесь поддерживать психологическую устойчивость и позитивный настрой в процессе лечения.

Не стесняйтесь обсуждать свои беспокойства и вопросы с врачом или психологом для получения поддержки и совета.

Внимательно следите за изменениями в самочувствии и немедленно сообщайте об этом вашему врачу.

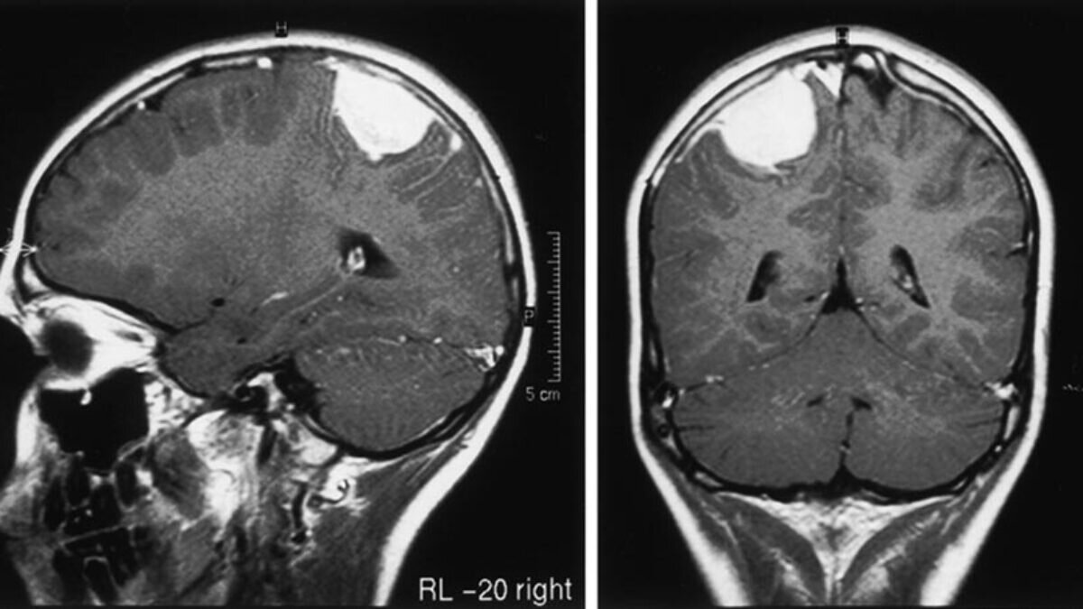
Врачи удалили кисту в головном мозге у годовалого малыша

Поддерживайте позитивный настрой и верьте в успех лечения, это поможет вам преодолеть трудности и достичь лучших результатов.